Današnje izdanja članka posvećujemo otkrivanju zbog čega se afte najčešće pojavljuju i šta ih zapravo pokreće. U nastavku saznajte kako da ublažite bol i ubrzate njihovo zacjeljivanje na najjednostavnije moguće načine…
Afte, poznate i kao aftozni ulkusi, predstavljaju male i plitke ranice koje se pojavljuju na sluznici usne šupljine, obično unutar usana, na jeziku, desnima ili nepcu. Iako nisu ozbiljan medicinski problem i ne uzrokuju dugoročne posljedice, mogu biti vrlo bolne, uzrokujući nelagodu i ometajući svakodnevne aktivnosti poput jedenja i govora. Iako su uzrok pojave afti još uvijek nepoznat, postoje brojni faktori koji ih mogu potaknuti. Afte nisu zarazne i ne prenose se s osobe na osobu, što ih razlikuje od herpesnih ranica koje mogu izazvati virusna infekcija.
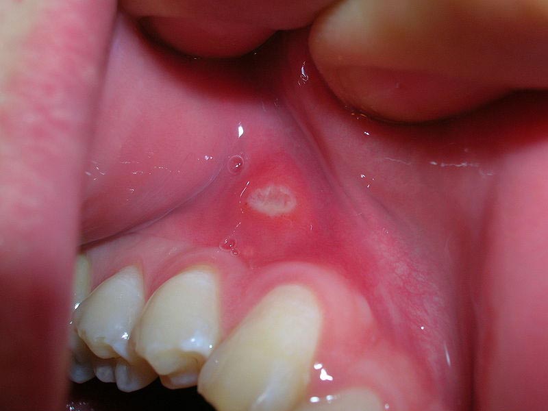
- Afte najčešće započinju kao bijele ili žućkaste ranice s crvenim rubom, a mogu se širiti na veličinu do 2,5 cm u promjeru. Iako su obično male, njihov izgled može biti neugodan, a bol koja ih prati često otežava obavljanje svakodnevnih aktivnosti. Prema informacijama dostupnim na Blicu, afte se obično javljaju na nekoliko ključnih mjesta u usnoj šupljini, uključujući jezike, desni, nepce, unutarnju stranu usana i ispod jezika. U većini slučajeva, afte su jednostavne i nestaju u roku od tjedan dana, međutim, postoji i vrsta afti koja je kompleksnija i može trajati dulje.

Važno je napomenuti da afte nisu uzrokovane infekcijama niti su zarazne. Iako se vrlo često miješaju s herpesnim ranicama, afte i herpesne ranice su potpuno različiti fenomeni. Herpesne ranice uzrokovane su virusom herpes simplex i prenose se s osobe na osobu, dok afte nisu rezultat infekcije i ne mogu se prenijeti kontaktom. Prema podacima dostupnim na ordinacija.hr, afte mogu biti potaknute raznim faktorima, uključujući stres, ozljede sluznice, konzumaciju kiselo-pikantne hrane, kao i uporabu nesteroidnih protuupalnih lijekova poput ibuprofena.
- Afte su najčešće prisutne kod tinejdžera i osoba u dvadesetim godinama, s tim da žene imaju veću sklonost ka njihovoj pojavi. Stručnjaci sugeriraju da hormonske promjene mogu imati utjecaja na učestalost nastanka afti kod žena. Osim toga, afte se mogu povezati i s određenim bolestima, poput lupusa, Behcetove bolesti, celijakije, ulceroznog kolitisa, Crohnove bolesti i AIDS-a. Vitamin B12, folna kiselina, željezo i cink također igraju važnu ulogu u prevenciji afta, a njihov nedostatak može povećati rizik od njihovog nastanka.
Prema informacijama na ordinacija.hr, simptomi afti uključuju pojavu jedne ili više bolnih ranica u usnoj šupljini koje mogu biti bijele, sive ili žute boje, s crvenim rubom. Osim toga, često se javlja osjećaj peckanja ili žarenja na zahvaćenom području. U težim slučajevima, može doći do povišene temperature, iscrpljenosti i otečenih limfnih čvorova. Iako afte prolaze same od sebe, postoje različite opcije za ublažavanje boli i ubrzavanje procesa zacjeljivanja, kao što su lokalni anestetici, ispiranja usta s vodikovim peroksidom ili kortikosteroidne masti.

Za liječenje afta, stručnjaci savjetuju korištenje različitih pripravaka koji mogu ublažiti bol i ubrzati cijeljenje. Benzokain, koji je lokalni anestetik, može pomoći u smanjenju boli, dok ispiranje usta s vodikovim peroksidom ili deksametazonom može ubrzati proces ozdravljenja. Za kompleksne slučajeve, moguće je koristiti kortikosteroidne masti koje pomažu u smanjenju upale i bolova. Međutim, afte se najčešće liječe same od sebe, bez potrebe za specifičnim tretmanima. U ozbiljnijim slučajevima, kada afte traju duže od dva tjedna, savjetuje se konzultacija s liječnikom.
- Prevencija pojave afti uključuje nekoliko jednostavnih koraka. Iako ne postoji način da se potpuno spriječi njihova pojava, postoje mjere koje mogu smanjiti rizik. Preporučuje se izbjegavanje kiseline, začinjene i slane hrane, kao i održavanje dobre oralne higijene. Redovito četkanje zuba mekom četkicom i korištenje zubnog konca mogu značajno smanjiti rizik od nastanka afti. Također, važno je održavati uravnoteženu prehranu bogatu vitaminima i mineralima te primjenjivati tehnike smanjenja stresa, poput meditacije i mindfulness tehnika.
Ako afte postanu učestale, velike ili uzrokuju velike smetnje u svakodnevnim aktivnostima, ordinacija.hr savjetuje da se posavjetujete s liječnikom ili stomatologom. U nekim slučajevima, liječnici mogu preporučiti dodatne pretrage kako bi isključili druge zdravstvene probleme. Ako afte traju duže od dva tjedna, javljaju se uz visoku temperaturu ili otežavaju osnovne funkcije kao što su jedenje, pijenje ili govor, potrebno je konzultirati se sa stručnjakom.

Kao zaključak, iako afte mogu biti neugodne i bolne, obično nisu opasne za zdravlje. Ako se pravilno liječe i ako se poduzmu odgovarajući koraci u prevenciji, većina ljudi uspješno se nosi s ovim problemom. Ipak, uvijek je važno obratiti pažnju na učestalost i trajanje afta, jer u nekim slučajevima mogu ukazivati na ozbiljnije zdravstvene probleme.
















